Precyzyjne leczenie zębów wielokrotnie wymaga przeprowadzenia szybkich, bezinwazyjnych, a także stosunkowo tanich badań RTG. Większość z nich wymaga posiadania skierowania od stomatologa. Wśród takich badań są te zwane cefalometrią. Dowiedz się, kiedy się je wykonuje, a także na czym one polegają.

Czym jest cefalometria?

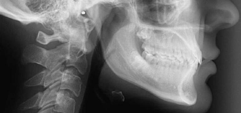
Cefalometria uznawana jest za jedną z odmian zewnątrzustnych zdjęć rentgenowskich, które mają swoje zastosowanie w stomatologii i implantologii. Wykonywana jest ona w trzech projekcjach. Pierwszą z nich jest ta boczna, drugą tylno-przednia, a trzecią osiowa. Najczęściej jednak dokonuje się badania metodą pierwszą – od boku. Celem badania cefalometrycznego  jest zaś obrazowanie struktury czaszki, tkanek miękkich i twardych jamy ustnej, podniebienia twardego, a także zatok przynosowych. Warto przy tym wiedzieć, że niekiedy ma ona swoje zastosowanie w chirurgii, również po przebytych ciężkich wypadkach głowy, czy szczęki.

Kiedy stosowana jest cefalometria?

Cefalometria ma szczególne zastosowanie przy diagnostyce wad zgryzu oraz wad rozwojowych części twarzowej czaski. Pozwala ona zatem planować leczenie ortodontyczne, czy to, które należy wykonać po wypadkach. Cefalometria umożliwia bowiem badać procesy rozwoju i rozrostu szczęki oraz czaski, czy nawet pozwala oceniać wiek kostny. Dzięki temu rodzajowi badań/zdjęć można dowolnie dokonywać pomiarów punktów, odległości, linii i kątów w obrębie kości twarzy.

Przygotowanie do badania

Cefalometria jest bezbolesna, bezinwazyjna, a także błyskawiczna. Przygotowanie do badania jest dłuższe, niż samo jego przeprowadzenie. Cała wizyta w takim miejscu, jak Pracownia Rentgenowska Piotra Stodolnego, nie powinna jednak trwać dłużej niż kilka-kilkanaście minut. Wspomniane przygotowanie do badania polega na unieruchomieniu głowy pacjenta w cefalostacie. Istotne jest włożenie do uszu specjalnych oliwek, a do nosa wygodnego wspornika nosowego. Chwilę przed wykonaniem badania pacjent musi przełknąć ślinę oraz zagryźć zęby. W trakcie wykonywania zdjęcia musi pozostać nieruchomy.

Zalety cefalometrii

Cefalometria jest przede wszystkim badaniem niesamowicie nieinwazyjnym. Dawka promieniowania przy tejże technologii jest bardzo niewielka, a pozwala na precyzyjne zobrazowanie struktury głowy, jamy ustnej, tkanek miękkich oraz samej szczęki. Dodatkowo zaletą jest to, że badanie jest błyskawiczne, a przygotowanie do niego nie wymaga szczególnych procedur. Wynik jest zaś uzyskiwany w postaci cyfrowej, co pozwala nawet na przesłanie go z pracowni RTG wprost do stomatologa!