Profim Mariusz Filar

Diagnostyka dla potrzeb stomatologii i laryngologii

Radiolodzy
ul. Dmowskiego 3/1, 80-243 Gdańsk woj: pomorskie
Poniedziałek 8:00 - 20:00
Wtorek 8:00 - 20:00
Środa 8:00 - 20:00
Czwartek 8:00 - 20:00
Piątek 8:00 - 20:00
Sobota 9:00 - 15:00
Niedziela Zamknięte
(3 opinie) napisz opinię
Profim Mariusz Filar
ul. Dmowskiego 3/1, 80-243 Gdańsk woj: pomorskie
NIP
5841746203
Telefon
Profim Mariusz Filar

Informacje

Opis działalności firmy Profim Mariusz Filar w Gdańsk
Pracownia rentgenowska Profim znajduje się w Gdańsku. Rozpoczęła działalność w 2002 roku. Jej właścicielem jest Mariusz Filar.
Produkty i usługi
Pracownia w październiku 2023 wymieniła aparaty RTG na nowocześniejsze i bezpieczniejsze, dodatkowo usprawniając cały proces obsługi pacjenta.

Pracownia RTG Profim specjalizuje się w rentgenodiagnostyce twarzoczaszki. Badania wykonywane są przede wszystkim na potrzeby diagnostyki stomatologicznej i laryngologicznej. Pacjenci poddają się im ze względu na konieczność leczenia chirurgicznego, zachowawczego, ortodontycznego i protetycznego. Aparatura używana w pracowni umożliwia m.in. wykonywanie badań RTG zewnątrzustnych i wewnątrzustnych. Diagnostyka zewnątrzustna to:
-zdjęcia pantomograficzne,
-zdjęcia stawów skroniowo-żuchwowych,
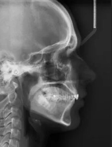
-zdjęcia cefalometryczne,
-zdjęcia zatok,
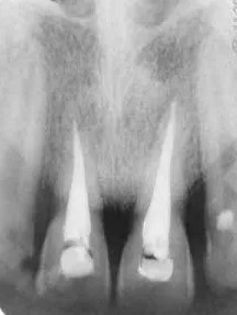
Przykładem zdjęć wewnątrzustnych wykonywanych w pracowni są zdjęcia punktowe zęba, skrzydłowo-zgryzowe i zgryzowe.

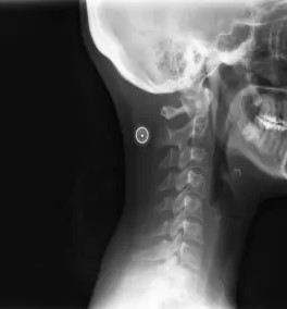
Pracownia wykonuje również zdjęcia odcinka szyjnego kręgosłupa.

Pacjenci mogą się tez poddać badaniom tomografem komputerowym. Badania TK obejmują okolicę zęba, szczękę, żuchwę, zatoki szczękowe.

Więcej informacji o badaniach wykonywanych w pracowni RTG Profim pacjenci mogą uzyskać telefonicznie.
Zasięg działania
Firma Profim Mariusz Filar z lokalizacji: Gdańsk świadczy usługi m.in. w wymienionych obszarach:
pomorskie

Opinie

WeNet jako administrator serwisu nie prowadzi weryfikacji, czy publikowane w serwisie opinie pochodzą od konsumentów, którzy nabyli dany produkt lub usługę lub ich używali.
(3 opinie) napisz opinię
Ocena w gwiazdkach (do 5) jest średnią arytmetyczną wszystkich ocen wystawionych w ramach opublikowanych niżej opinii
G
Gość
Recepcja sporo by ułatwiła. Powstaje z tego wiele nieporozumień.
M
Michał
Zdjęcie punktowe zęba potrzebne mi było do leczenia stomatologicznego. Dobrze je wykonali, więc stawiam 5.
B
Błażej
Miła atmosfera i szybkie wykonanie zdjęcia. Polecam pracownię Profim.